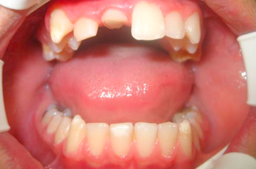
Fractures are extremely common in all dentistry practices. They happen to people of all ages, although they are most common for patients under the age of 25. Fractures can be problematic, whether they are visible and affect your appearance or leave you in pain suffering with tooth sensitivity. Chipped teeth can be easy to repair, especially if caught early on and if the remaining tooth structure and enamel are intact. There are multiple types of fractures, which will be explained below. 
Supragingival Fracture
The first type of fracture is called an oblique supragingival fracture. This occurs above the gums and happens when you bite down too forcefully. An accident that can cause this is when one falls to the floor hitting their jaw first causing a forceful bite. The good news is- this type of fracture generally doesn’t affect the nerves. The pain goes away as soon as the fractured part of the tooth breaks off. The exposed area of the tooth could be sore, but it is easy for a dentist to repair. If the fracture is large enough, you may need a crown to prevent more fractures from occurring in that tooth. If the fracture is in a baby tooth, the tooth can be just pulled for the new one to replace it.
Subgingival Fracture
The second type of fracture happens far below the gum line. It is called an oblique subgingival fracture. The actions that cause this type of fracture are forceful blows straight to the face. In this case, the fractured tooth continues to cause terrible pain until
you get it removed. This is because the fractured piece of tooth normally remains lodged in the gums after it breaks off. Luckily, it does not usually affect the nerves. However, it may result in the need for a root canal to clean out the tooth before you can have a crown put in. This fracture varies in severity depending on how far it has gone past the gum line. If it is stuck deep into the gum line, saving the tooth may be impossible. However, the crack can be present for many years before you start to feel any pain. Regular check-ups with your dentist are recommended to prevent this.
Vertical Apical Root Fracture
The third and final type of fracture is called a vertical apical root fracture. It occurs in the tip of the root and is usually the most painful kind of fracture, even if you’ve had the nerve removed with a root canal. Vertical apical fractures can cause pain to the bone because pieces of fragments are putting pressure on it. The only way you can fix this fracture is for one to get a root canal. It will ease the pain and remove the dead part of the affected tooth.

Fractures are both common and painful, which is why you should never procrastinate going to the dentist. They will become more serious the longer you wait to treat them. Let Texas Periodontal diagnose you in a treatment and fix your fracture before it gets any worse. If you have an questions, comments, concerns, or would like to come in and see us, contact us here at Texas Periodontal. We'd be more than happy to help.